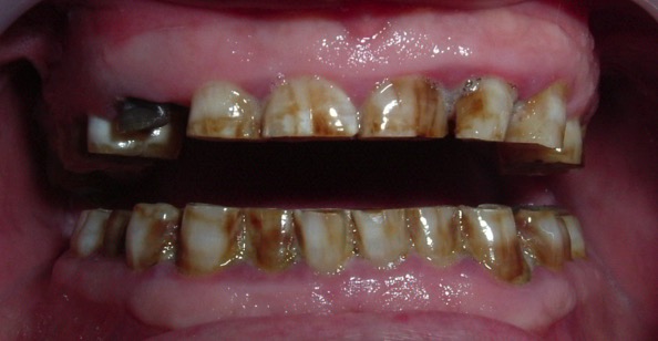
El bruxismo es algo muy importante y las personas no le prestan mucha atención. Es una de las tantas patologías modernas que estan subdiagnosticadas (mucha gente lo padece y no sabe). El bruxismo es sencillamente apretar los dientes de forma...
Read more
